皮肤病医院 皮肤专科
毛囊炎的症状有那些?有很多的患有此疾病的病人不是很重视此疾病,从而导致病情出现恶化,给病人带来很大的痛苦,从而导致生活有很大的压力。天津皮肤病医院医师为大家介绍有关一些毛囊炎疾病的一些知识,这样可以更加清楚毛囊炎疾病的危害,从而也可以是病人的进行预防。

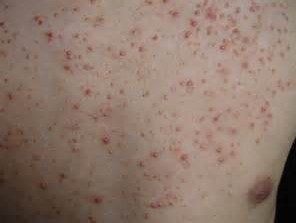
毛囊炎的症状有那些
此病通常比较喜欢发病的部位是在身体的头部和颈部以及一些其他的地方。
毛囊炎疾病发病的部位有很多的小丘疹,皮肤周围会出现红晕,有的时候还会出现一些皮肤瘙痒,让病人经常难以忍受。
此病多发育成年人,发病时皮肤会出现一些轻微的刺痛,有时候会持续几个月难以治疗,从而影响病人的生活健康。
精湛技术为基础,优质服务为载体,全心全意为病人服务。
营业时间:早8:00-晚20:00(节假日不休)
医院地址:天津市河西区黑牛城道189号
用心服务每一位患者 天津津门皮肤病医院.